Read-Only Archive — 68,067 posts · 4,889 threads · 2,978 members · preserved from 2006–2015
Random photo of the day
#901
Nope. Even that doesn't help. :)=)
#902
attachment
#903
attachment
#904
24 row planter on JD tractor. My dad sent me this picture. They planted his 108 acres in just a couple hours.
#905




}:)
#906
#907


More photos of it here.
#908
Gitmo garage sale?
#909
attachment

Buy it here
#910
First Dog
#911
quickie map I made for a guy coming to work at the new building

attachment
#912
offroadaz wrote:quickie map I made for a guy coming to work at the new building

attachment


You work really close to my house.
#913
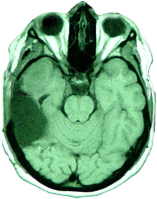
One of my customer's brain scan after softball size cancerous tumor was removed.

attachment
#914
#915
Skatchkins wrote:


I love it! Looks great!
#916
Skatchkins wrote:


giggle.

awesome.

Center of the flag instead of center of the black part, huh. Dang literal screen printers. LOL
#917
attachment

attachment
#918
Now that's just nasty...
#919
Sc00by wrote:Now that's just nasty...


X2. Well said, buddy. What else can they can whole? Lambs? Ducks? Small Rodents...
#920
Well, I was looking for Moab photos to post in the Moab Pic of the Day.